Running from Ping Pong Balls

To say the last few days have been a whirlwind would be rather like saying the Titanic had a bit of a leak. On Wednesday evening, I took my mother to the hospital for what was meant to be a harmless little outpatient MRI, the medical equivalent of a quick oil change. We never left. Instead, they discovered a tumor in her right frontal lobe roughly the size and shape of a ping pong ball, which—while delightful on a table with paddles—was considerably less cheery inside someone’s brain.

The worst part was when they yanked me out of the MRI halfway through, deposited me in front of the neurologist, and explained the horror in that brisk, matter-of-fact tone doctors seem to perfect in medical school—equal parts terrifying and unhelpfully calm. I had my three-year-old in tow at the time, who was requesting snacks with the urgency of a union boss, and holding myself together for both of us felt like a feat of Olympic-level emotional gymnastics.

About twenty-five minutes later—during which I tried to deep-breathe myself to a distant, tropical beach unpopulated by rubber gloves and antiseptic odors—they wheeled my mom back out. And then, astonishingly, they made me tell her she had not one, but three tumors in her brain. I don’t know what training program covers this particular duty, but I seem to have missed it. To summarise, it was one of the most excruciating moments of my life—and I say that as someone who has already endured a stroke and heart surgery. Within minutes, my mother had been upgraded to Person of the Hour at the ER, though I doubt she appreciated the honor.

Fast-forward three days, and here we still are. After spending 20 thoroughly disorienting hours in the ER—the sort of place where time passes both too quickly and not at all—they moved her to the neurosurgical floor. Compared with the ER, it’s practically a five-star spa. Coma-inducing lighting, yes, but far fewer crashing alarms. Now we sit and wait for Monday’s brain surgery, a phrase I still struggle to process whenever I say it aloud.

Meanwhile, my heart palpitations, which usually stop by for a polite hello a few times each day, have upgraded themselves to full-time roommates, appearing several times an hour. I haven’t mentioned it to anyone—largely because what could they do besides add it to the mounting pile of things none of us can control? So instead, I hold my breath, because the alternative—falling apart—feels almost indistinguishable from not surviving at all.

And yet, here’s the maddening part: I keep telling myself I can run this away. Every health crisis I’ve had, every checkpoint in this absurd obstacle course of existence, I’ve tried to outpace with running shoes and grim determination. But you cannot log enough miles to outrun brain tumors. You cannot map a route long enough to escape them. The more I try, the more disappointed I am when it doesn’t work. Like a disastrous training run, all stumble and stitch and no joy, I can only hope, truly and stubbornly, that this too shall pass.

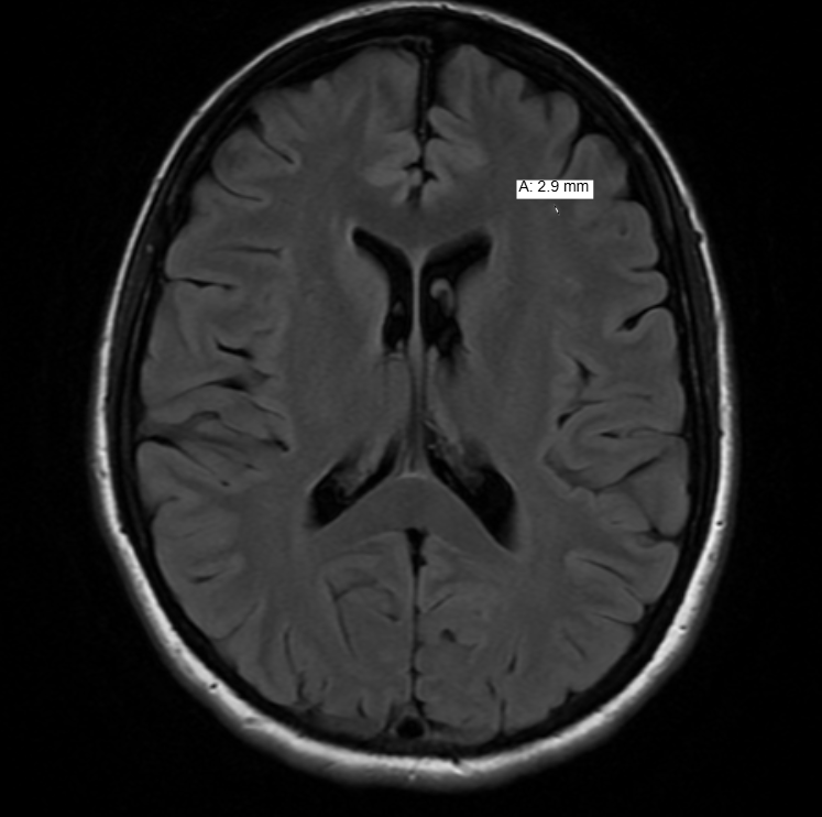
Running from MRI Season: Another Lap Around the Track

Since 2022, I’ve had a standing date with an MRI machine every year—my own personal Groundhog Day, except instead of a rodent predicting the weather, it’s a giant magnet peering into my brain and predicting, well, me. The scans always show the same old stroke souvenirs (thanks for the memories, 2022!), but otherwise, things have been reassuringly uneventful until last week.

This year’s MRI landed on Juneteenth, which, if nothing else, makes for a memorable calendar entry. Normally, I handle my time in “the cage” with the stoicism of a runner at mile 18—uncomfortable, yes, but nothing I can’t power through. But this time, I had a hunch things would be different. Not fear, exactly. More like that feeling you get in the last quarter-mile of a race when you know something’s off with your stride. You’re not sure what, but you know.

A few hours later, the results dropped, and—cue the dramatic music—my hunch was right. White Matter Hyperintensity. Left frontal lobe. The start of Small Vessel Disease—a phrase that hovers ominously, hinting at the possibility of dementia down the road, like those balloon ladies at the back of a marathon, always just behind you, no matter how hard you push. But honestly, I wasn’t surprised. My body has been sending up distress flares for months, and I’ve been logging the symptoms like a runner logs miles:

  • Vision doing its own thing
  • Words playing hide-and-seek in my brain
  • Short-term memory that’s, well, short
  • Blood pressure so low it could limbo under a garden hose (88/56, if you’re keeping score)
  • Insomnia that only Trazodone can tame
  • Mood swings that make Boston’s Heartbreak Hill look like a bunny slope
  • Depression and anxiety, the unwelcome running buddies
  • Heart rate dropping to 49 bpm—elite marathoner numbers, but without the medals
  • Dizzy spells and vision blackouts whenever I stand up (or, you know, attempt yoga)
  • 15 pounds lost in 2 months (if only it were from marathon training)
  • Balance so wobbly, I could be running on cobblestones in Rome

It’s been a slow, sneaky build—like overtraining, but without the endorphin highs. At one point, I was convinced I had early-onset Parkinson’s. I talked to my therapist, journaled about it, and notified not one, not two, but four doctors. The collective medical response? Order another MRI. (Doctors, it turns out, are like race marshals: quick to hand you a cup of water, but not so quick to notice you’re limping.)

Yesterday, my neurologist’s PA emailed me: “No new signs of stroke!”—complete with a cheery smiley face. I suppose that’s meant to be reassuring, but when you’re the one living with the symptoms (and the new MRI findings), it feels a bit like being told, “Great job, you finished the race!” when you know you took a wrong turn at mile 10.

So here I am, left to manage the aftermath. I’m the one who can’t remember which kid I’m yelling for, or why there’s pizza on the wall, or how to explain to my husband that the three-year-old’s culinary experiments are not, in fact, a sign of genius. Losing your train of thought all day is exhausting—like being stuck in an endless training cycle with no taper in sight. No finish line, no medal, just more laps.

And that’s the real question, isn’t it? If you already know what the race result will be, is it worth running? I’m not saying I won’t toe the start line. Runners are stubborn like that. But knowing the suffering ahead, you do wonder: Is it worth it?

Maybe that’s the point. We run not because we know the outcome, but because we don’t. Because every mile, every scan, every day is a chance to surprise ourselves. And sometimes, even when the course is tough and the finish line is uncertain, you just keep running from everything—if only to see what’s around the next bend to scare the hell out of you.